CỨU SỐNG BỆNH NHÂN NGUY KỊCH DO CHẤN THƯƠNG NGỰC PHỨC TẠP
CỨU SỐNG BỆNH NHÂN NGUY KỊCH DO CHẤN THƯƠNG NGỰC PHỨC TẠP TẠI BỆNH VIỆN ĐA KHOA TTH QUẢNG BÌNH
Mới đây, Bệnh viện Đa khoa TTH Quảng Bình đã tiếp nhận và điều trị thành công một trường hợp bệnh nhân nguy kịch liên quan đến chấn thương ngực nặng, điển hình với gãy nhiều xương sườn, tràn máu - tràn khí màng phổi, suy hô hấp cấp, máu đông khoang màng phổi – một tình huống y khoa phức tạp đòi hỏi can thiệp khẩn cấp và chuyên môn cao.
Khởi đầu từ một tai nạn tưởng chừng nhẹ
Theo chia sẻ từ người nhà, bệnh nhân bị ngã xe máy, đập mạnh ngực vào vỉa hè. Sau tai nạn, bệnh nhân được đưa đến một cơ sở y tế gần nhà và được chẩn đoán gãy xương sườn, sau đó được kê đơn thuốc và cho về điều trị ngoại trú. Tuy nhiên, trong vòng hai ngày sau tai nạn, tình trạng đau ngực và khó thở của bệnh nhân ngày càng nghiêm trọng, buộc người nhà phải đưa vào Bệnh viện TTH Quảng Bình trong tình trạng cấp cứu.
Nhập viện trong tình trạng đe dọa tính mạng
Khi tiếp nhận tại Khoa Cấp cứu, bệnh nhân trong tình trạng:
• Tri giác chậm, da niêm nhợt
• Khó thở nhanh, nông với nhịp thở > 30 lần/phút
• Mạch nhanh nhỏ 100 lần/phút
• Huyết áp tụt còn 80/40 mmHg
• SpO₂ chỉ 80%
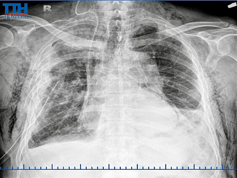
Ngay lập tức, các bác sĩ tiến hành thăm khám kỹ lưỡng và thực hiện các xét nghiệm, chẩn đoán hình ảnh. Kết quả cho thấy:
• Gãy 8 xương sườn cung sau bên phải (từ xương số III đến số X)
• Tràn máu – tràn khí màng phổi lượng nhiều, chèn ép và đẩy lệch trung thất
• Tụ máu thành ngực diện rộng từ nách xuống mào chậu
• Kèm theo suy hô hấp cấp

Ngoài ra, bệnh nhân có tiền sử bệnh phổi tắc nghẽn mạn tính (COPD), tăng huyết áp, đái tháo đường type II, làm tăng nguy cơ biến chứng và tử vong nếu không xử trí kịp thời.
Xử trí nhanh chóng và chính xác
Bệnh nhân nhanh chóng được chuyển lên phòng mổ, tiến hành:
• Dẫn lưu màng phổi phải, lấy ra khoảng 1500ml máu
• Cố định các xương sườn gãy
• Truyền máu, hồi sức tích cực sau mổ
Tình trạng bệnh nhân cải thiện rõ rệt: hết khó thở, tỉnh táo, dẫn lưu hoạt động tốt.
Phát hiện khối máu tụ lớn cản trở phổi nở
Sau 2 ngày, bệnh nhân được chỉ định chụp MSCT ngực. Kết quả cho thấy:
• Có khối máu tụ lớn trong khoang màng phổi và dưới màng phổi phải, chiếm gần một nửa khoang lồng ngực, gây cản trở sự nở tối đa của phổi.
Bệnh viện đã nhanh chóng tổ chức hội chẩn đa chuyên khoa và quyết định:
• Phẫu thuật nội soi lồng ngực để lấy bỏ khối máu đông.

Ca mổ thành công – bệnh nhân phục hồi tốt
Ca phẫu thuật được thực hiện bởi đội ngũ bác sĩ Ngoại Lồng ngực phối hợp cùng ê-kíp Gây mê Hồi sức. Các bác sĩ đã lấy ra:
• 650gr máu đông, sau đó bóp bóng giúp phổi nở hoàn toàn.
Sau phẫu thuật, bệnh nhân được theo dõi tại Khoa Ngoại Tổng hợp:
• Hết đau ngực, hết khó thở, phổi nở tốt khi chụp X-quang
• Rút dẫn lưu sau 3 ngày
• Tình trạng ổn định và được xuất viện an toàn

Sự phối hợp hiệu quả – Yếu tố sống còn
Ca bệnh là minh chứng rõ ràng cho sự phối hợp nhịp nhàng giữa nhiều chuyên khoa tại Bệnh viện Đa khoa TTH Quảng Bình,
Chính nhờ năng lực chuyên môn vững vàng, phản ứng nhanh nhạy, và sự phối hợp hiệu quả giữa các bác sĩ và điều dưỡng, bệnh nhân đã được cứu sống và phục hồi tốt sau một ca chấn thương nghiêm trọng.
Lời cảm ơn từ người bệnh và gia đình
Trước khi xuất viện, bệnh nhân và gia đình đã bày tỏ sự biết ơn sâu sắc đến toàn thể đội ngũ y bác sĩ, điều dưỡng của Bệnh viện Đa khoa TTH Quảng Bình – những người đã nỗ lực hết mình để giành lại sự sống cho người bệnh trong gang tấc.
Bệnh viện Đa khoa TTH Quảng Bình luôn không ngừng nâng cao chất lượng chuyên môn, đầu tư trang thiết bị hiện đại và đào tạo nguồn nhân lực vững mạnh – sẵn sàng xử trí hiệu quả mọi tình huống cấp cứu nguy kịch, trở thành địa chỉ y tế an tâm – an toàn – tận tâm cho người dân trong khu vực.

---------------------------------------
BỆNH VIỆN ĐA KHOA TTH QUẢNG BÌNH
**Vì sức khỏe và nụ cười của bạn**
- Hotline tư vấn và đăng ký: 0857 867 222
- Hotline tiếp nhận phản ánh: 0967 260 115
- Website: https://benhvientthquangbinh.vn/
Địa chỉ: Số 99, đường Điện Biên Phủ, phường Đồng Hới, tỉnh Quảng Trị
#BenhvienDakhoaTTHQuangBinh
#TTHQuangBinh